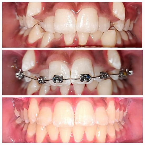
JP Dental Clinic is a leading dental clinic in Koramangala, Bangalore, providing comprehensive dental care with a focus on comfort, precision, and long-term oral health. Our experienced dentists offer advanced treatments including dental implants, root canal treatment, braces and aligners, veneers, teeth whitening, and pediatric dentistry.

Conveniently located in Koramangala, we serve patients from HSR Layout, BTM, Indiranagar, and surrounding areas. Using modern technology and strict sterilization protocols, JP Dental Clinic ensures safe, painless, and effective dental solutions for every patient. Book an appointment today with a trusted dentist in Koramangala and experience personalized dental care.

1.0   LAKH+      25 +

  Treated Patients        Years Experience

Meet our Team

Dr. Jaipal Reddy,BDS

Founder & Chief Dentist

Dr. Jaipal Reddy is an experienced and highly regarded dental surgeon and cosmetic dentist based in Koramangala, Bengaluru. He is the founder and lead dentist at JP Dental Clinic, a well-established dental practice known for comprehensive, patient-centric oral care. Dr. Reddy holds a Bachelor of Dental Surgery (BDS) degree from the Government Dental College and Research Institute, Bangalore, and brings over 25 years of clinical experience in general dentistry, endodontics, and cosmetic dental procedures.

Testimonials