Smile Gallery

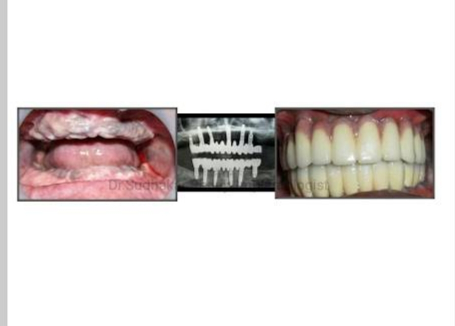
Welcome to the Smile Makeover Gallery at JP Dental Clinic, a trusted destination for Smile Makeover in Koramangala. This gallery features real patient transformations achieved through advanced cosmetic and restorative dentistry, delivered with precision, ethics, and personalised care.

Our smile makeover treatments are designed to enhance facial harmony, improve dental function, and restore natural confidence. The cases showcased here include teeth whitening, dental veneers, smile designing, orthodontic alignment, and dental implants, all tailored to the unique dental structure and aesthetic goals of each patient.

As a leading clinic for Smile Makeover in Koramangala, JP Dental Clinic follows a comprehensive approach—combining digital smile analysis, high-quality materials, and minimally invasive techniques to ensure long-lasting, natural-looking results. Every smile you see in this gallery reflects careful planning, expert execution, and attention to detail.

If you are searching for a cosmetic dentist in Koramangala or considering a complete smile transformation, our Smile Gallery offers a transparent look at real outcomes created at our clinic. These results demonstrate what is possible when experience, technology, and patient-centric care come together.

Explore our Smile Gallery and take the first step towards your perfect smile makeover in Koramangala.